近年来,免疫细胞治疗已经肿瘤临床上的热门领域,并且相关治疗产品已经获批上市。在《International Journal of Molecular Sciences》发表的综述,总结了癌症免疫治疗和自然杀伤细胞(NK细胞)这一领域的发展概况,帮助人们了解这一种细胞在癌症治疗领域的潜力与应用。

自然杀伤细胞,也就是NK细胞,是免疫军团中的“特警部队”,是对抗癌细胞和病毒最强、最有效的免疫细胞。
NK细胞直接、灵敏、反应速度极快,不需要被激活就能直接消灭癌细胞,被医学界公认为“抗癌第一道防线”。
研究发现,一个NK细胞就可杀死27个癌细胞。NK细胞对几乎所有常见的癌细胞类型都有杀伤作用,包括肺癌、乳腺癌、肝癌、淋巴癌、食道癌等。NK细胞可以构筑起一道坚固的城墙,及时发现并杀死病变细胞,从而有效避免癌症发生。
一旦NK细胞的活性降低,它就会从王者退化为青铜,战斗力就会锐减,病毒、细菌和癌细胞就可能逃脱监视,大大增加患病及患癌风险。
在我国,目前癌症患者的生存率只有40%。而事实上不止癌症患者,正常人每天也都会产生5000个左右的癌细胞,但多数人的癌细胞并不会形成真正的癌症。
这是因为我们每个人的身体里都有一群「癌症天敌」在保护我们,也是世界上最好的医生。它就是免疫细胞。
一旦癌细胞出现,免疫细胞就会高效地识别和消灭,保护我们的身体健康。这就是大多数人不会得癌症的原因。
不光是癌症,人体90%以上的疾病(病毒感染、炎症等)都与免疫系统失调有关。

如果失去免疫细胞的保护,即使最轻微的感染也足以让人丧命。
研究发现,40岁以后,NK细胞的数量、活性及功能会急剧下降,各种疾病都会不请自来。年龄、精神压力过大、睡眠不足、工作过度、营养不足等因素,都会降低NK细胞的活性,使其无法非常有效的发挥抗癌作用。

美国国家癌症中心早于1985年已经把NK细胞免疫疗法列为继手术、放疗、化疗之后癌症干预第四种方法。
通俗地说,细胞免疫疗法就是采集人体自身免疫细胞,经过体外培养,使其数量倍增,然后再回输到人体,一方面用来消除癌细胞、突变细胞,另一方面激活和增强机体免疫力,控制癌细胞的转移和复发。这类疗法包括CAR-T、TCR-T、NK等,目前在全球被广泛的研究。
近年来,已经有许多癌症的治疗研究采用了NK细胞,涵盖了急性髓系白血病、神经母细胞瘤、恶性胶质瘤、B细胞淋巴瘤、肝癌、胰腺癌、胆管癌等。
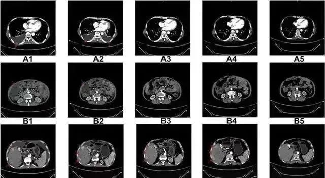
案例1:国外知名杂志《Oncotargets and Therapy》的一例试验报告显示:NK细胞疗法让晚期肝癌患者肿瘤显著缩小,从生存期仅3个月到超过4年!

△ NK细胞治疗前和治疗期间的CT扫描结果
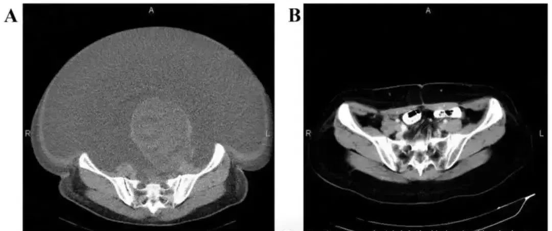
案例2:国内一名60岁的卵巢癌晚期患者,在接受了体外扩增,高度活化的同种异体NK细胞的治疗后,CA125水平从11,270降至580,所有腹水都消失了。此外,CT扫描的肿块体积减小,并且没有出现副作用。

案例3:一名广泛期小细胞肺癌患者,在进行4个疗程化疗和4次高度活化NK细胞回输后,患者第一次进行治疗后的CT复查,结果显示,肿瘤缩小到了原来的1/8。而且距发病第六年的CT复查中,仍旧没有发现任何异常及复发的迹象。

上海长征医院等单位合作首次从数据层面证实了自体NK细胞输注是显著缓解T细胞衰老、衰竭,抑制关键成分SASP(衰老相关分泌表型)的有效方法。

《Frontiers in Immunology》杂志首次从数据层面证实了自体NK细胞输注能显著缓解T细胞衰老、衰竭,抑制关键成分SASP的有效方法,特别是针对免疫系统,衰老可以通过NK细胞输注让其向更年轻的方向发展。
发表在《Biochemistry and Biophysics Reports》的一个研究通过五个临床案例探讨了自体扩增激活的NK细胞(aNK)对免疫衰老的影响。研究评估了自体扩增激活的NK细胞疗法的安全性、减少衰老免疫细胞的能力以及其在抑制人类炎症反应中的效果。

研究结果表明,自体扩增激活的NK细胞疗法不仅安全,还能有效减少免疫衰老,并在减少与年龄相关的炎症反应中发挥作用。
通过多项研究结论不难看出,NK细胞除了在抗癌方面有着其独特的优势,在对抗衰老细胞方面也有着巨大的潜力。及时补充体内NK细胞的数量,改善和稳定机体的内环境,使机体保持年轻健康状态,成为激活免疫打败癌症的关键,是机体抵抗衰老的一把“密钥”。
文章来源:干细胞之家APP微信公众号
特别声明:本文文字、图片、 音频来源于网络资讯,仅供参考与学习,并非广告,若有侵权,请及时联系我们,我们将在第一时间处理。